tecnologia

O novo modelo de inteligência artificial da OpenAI, o o1, acertou 82% das questões da prova qualificatória para o curso de residência na Faculdade de Medicina da USP e gabaritou a desafiadora seção de matemática do vestibular do ITA (Instituto Tecnológico de Aeronáutica). O modelo acertou 98 das 120 questões da prova da Fuvest para […]

A partir desta segunda-feira (5), operadoras de telefonia móvel que atuam em mais de 506 municípios poderão solicitar o licenciamento e a ativação de estações para internet 5G. O serviço foi disponibilizado pela Agência Nacional de Telecomunicações (Anatel) às prestadoras que adquiriram lotes na faixa de 3,5 GHz. De acordo com o Ministério das Comunicações, […]

A UNESP Câmpus Sorocaba será sede de um Instituto Nacional de Ciência e Tecnologia. A proposta de nanotecnologia para Agricultura Sustentável foi aprovado pelo CNPq. O INCT NanoAgro visa qualificar e congregar recursos humanos de alto nível de diferentes áreas para promover avanços na fronteira do conhecimento em Nanotecnologia para Agricultura Sustentável. Essa proposta será […]

A inteligência artificial da Meta acaba de ficar disponível em mais sete idiomas e em outros países pelo mundo, inclusive nações da América Latina pela primeira vez. No entanto, a IA da empresa dona do Instagram, WhatsApp e Facebook, não foi lançada no Brasil após a Autoridade Nacional de Proteção de Dados (ANPD) proibir a […]

A Eve Air Mobility (NYSE: EVEX; EVEXW), da Embraer (EMBR3), revelou neste domingo, 21, seu primeiro protótipo eVTOL (aeronave elétrica de decolagem e pouso vertical) em escala real. Durante o 45º Farnborough Airshow, a empresa mostrou a aeronave que está sendo construída nas instalações de testes da Embraer em Gavião Peixoto, estado de São Paulo. […]

Entre esta quarta-feira (26) e domingo (30), a cidade de São Paulo será a capital mundial dos jogos eletrônicos. Com apoio do Governo de SP, o São Paulo Expo recebe a primeira edição da Gamescom Latam, a versão latino-americana de um dos maiores eventos sobre games do mundo, a Gamescom, realizada em Colônia, na Alemanha. […]

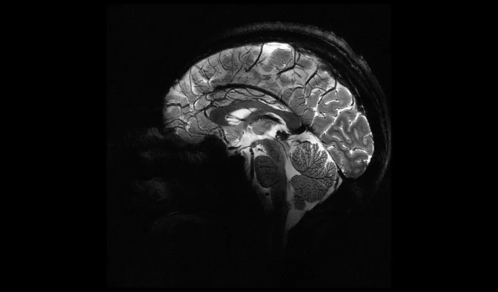
A Comissão de Energia Atômica da França (CEA), compartilhou, na terça-feira (2), imagens inéditas de alta precisão do cérebro humano, realizadas através da máquina de ressonância “mais poderosa do mundo”. A descoberta pode ser importante para detectar doenças neurodegenerativas como o Alzheimer e Parkinson. As novas imagens são fruto de mais de 20 anos de […]

A Xiaomi, gigante chinesa conhecida pelos smartphones e eletrônicos, lançou o primeiro carro elétrico da companhia. Segundo o presidente-executivo, Lei Jun, o carro é o “mais bonito, mais fácil de dirigir e mais inteligente”. O veículo já está disponível para venda, com preço de 500 iuans, o que equivale a quase R$ 344 mil. Embora […]

Quase 40% dos empregos em todo o mundo podem ser afetados pelo aumento da Inteligência Artificial (IA), uma tendência que provavelmente aprofundará a desigualdade, de acordo com o Fundo Monetário Internacional (FMI). Em uma publicação de domingo (14), a chefe do FMI, Kristalina Georgieva, pediu que os governos estabeleçam redes de segurança social e ofereçam […]

O WhatsApp lançou nesta segunda-feira (15) um recurso para que os usuários possam proteger com senha ou biometria conversas específicas no aplicativo de mensagem. A nova ferramenta permite que uma conversa na tela inicial do mensageiro seja ocultada. O chat será “transferido” para uma pasta chamada “Conversas protegidas”. As conversas nessa pasta somente serão acessadas […]


Você está ouvindo

Cruzeiro FM 92,3 Mhz

A número 1 em jornalismo